Invisalign treatment is a clear alternative to metal braces for all ages
Invisalign at West Malling DEntal
Invisalign treatment
Invisalign is a revolutionary new orthodontic treatment that uses advanced technology to align your smile without the need for traditional orthodontics. This means:
- No train-track braces
- No tightening visits
- No diet restrictions
By using clear aligner trays that are custom-made to your specifications, Invisalign can effectively straighten your smile more comfortably. We are excited to provide this option for our patients as it is one of the most advanced and popular orthodontic treatments used to date.
“Now I am not worried about what my teeth are looking like when I smile”
Erin, Invisaling patient
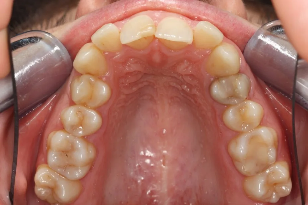
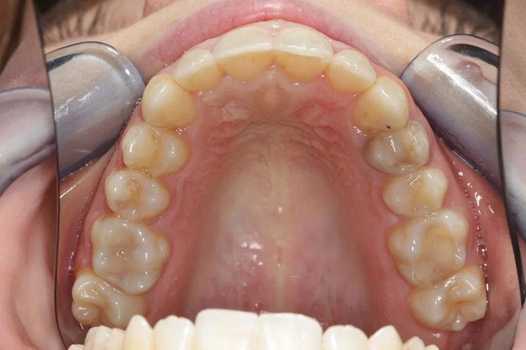
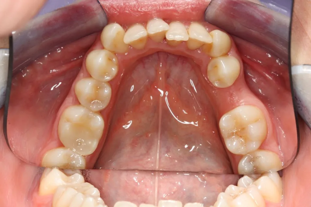
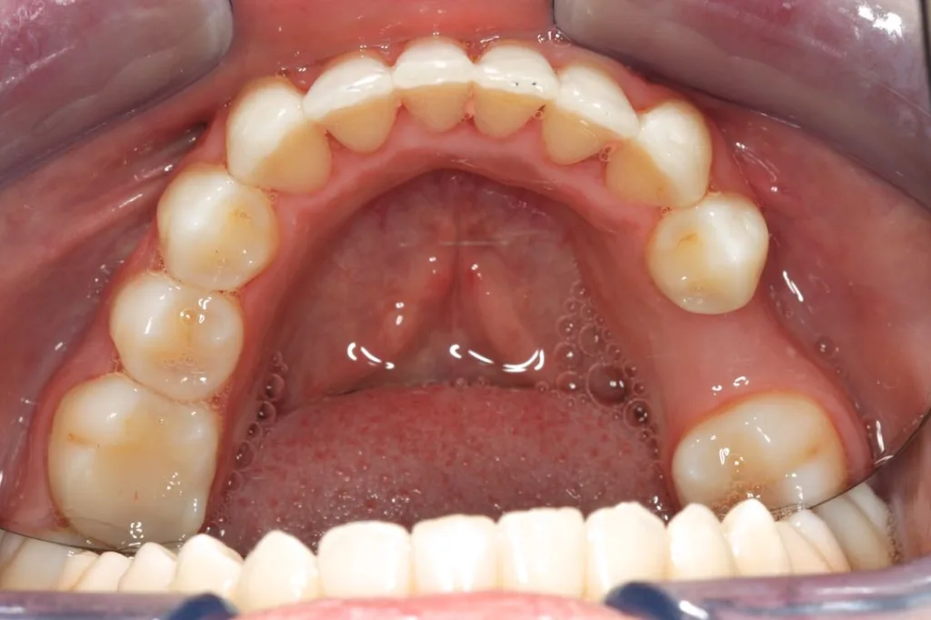
Invisalign Before & After








The treatment plan
Before a treatment plan can be created, your Invisalign Provider will take an impression of your teeth to check whether they can be straightened using the Invisalign System. Once confirmed, a detailed treatment plan will then be developed using ClinCheck®, a virtual 3D treatment plan. ClinCheck shows the series of movements your teeth are projected to go through over the course of the treatment, so you can see how your teeth are expected to look at the end of your Invisalign treatment before it even begins.
Smiling every step of the way
When you begin your Invisalign treatment, you will wear each set of custom-made aligners in two-week increments. As you progress through the series of aligners, your teeth will begin moving, little by little, gradually moving towards the projected final position.
During this time you will have occasional check-ups with your Invisalign provider in order to monitor your progress and ensure you are comfortable with the treatment.
Invisalign Lite at West Malling DEntal
Invisalign LITE
- Invisalign Lite is a shorter treatment than the traditional Invisalign system. It is ideal for patients who require minor orthodontic work such as crooked teeth, overcrowding, small gaps, positioning and alignment that is less than 4mm.
- The treatment time is up to 28 weeks and requires 10 – 14 stages of aligners so is therefore suitable for simple to moderate cases.
- The aligners are worn in sequence based on the 3D computer model made of your teeth together with the professional judgement of our dental team.
- The digital model demonstrates the series of movements the teeth may go through to get from their current position to the desired final position.
- Invisalign Lite allows you to view your own virtual plan and see how your smile may look once the treatment has been completed.
“I started to feel my teeth moving after three weeks, you can’t really feel the aligners”
Chantelle, Invisalign Patient
Invisalign FAQs
Why do patients like Invisalign treatment?
The clear aligner trays mean there are no wires to be seen and there is minimal indication that you are receiving treatment. The clear aligners are taken off when you eat so there is no danger of food getting stuck to wires and it is much easier to brush your teeth. Your friends won’t know you have braces on because the aligners are made from a clear plastic that blends seamlessly with your teeth. Other benefits include:
- Virtually invisible
- Totally removable
- No brackets or wires
- More comfortable
I started my Invisalign treatment 7 months ago and have just finished. The entire process was run so smoothly and professionally. I had been recommended George by a handful of close friends who had also either had Invisalign or cosmetic dental procedures. After showing me a range of previous cosmetic dental procedures, I quickly realised how much experience he had in the field. I didn’t think my teeth were particularly ‘bad’ but after my treatment I was surprised at how amazingly different they looked. They look very natural and just how I’d hoped. I can’t thank George and his team enough for my new smile!
Anna
Why do dentists recommend Invisalign?
Dentists have taken a shine to Invisalign as it allows patients to maintain their oral health as they normally would. Patients have healthier teeth as no food gets trapped around wires which are a common drawback with traditional braces. The removable aligners allow patients to find it easier to brush their teeth so they are able to maintain healthier gums during treatment.
How does Invisalign work?
Invisalign takes a modern approach to straightening teeth. Clear custom made series of aligners are made for you and your unique smile. Aligners are invisible plastic trays that you can wear over your teeth and exert gentle pressure to move the teeth over time, gradually shifting your teeth to the position that your dentist has planned. A new set of aligners are needed every 2 weeks until end of treatment. Treatment duration depends on the complexity of the patient’s case, and as such varies from patient to patient. Generally, the usual duration of Invisalign treatment is around 12 months.
Do I have to wear my Invisalign braces all the time?
You will need to wear your aligners for most of the day in order for them to be effective. The more you wear them, the shorter your treatment time will be.
As a rule, you should only remove them for eating, drinking and brushing your teeth. However, this is a flexible treatment, so if you need to remove them for a short time, for example for a special occasion, you can do so without hampering your treatment.
We will advise you on how to care for your aligners, and will also tell you how long you should wear each aligner before moving on to the next one.
Your treatment will be reviewed at regular intervals to make sure you remain on course.
Please contact the practice for more information.












